Tải file PDF bài viết Dị dạng đường thở bẩm sinh – CPAM tại đây
Bài viết được dịch bởi Trần Thị Thu, Dr. Lê Vũ Duy
Đại cương
Dị dạng đường thở bẩm sinh – Congenital pulmonary airway malformations (CPAM) là một khối nhiều nang của nhu mô phổi, với bất thường của sự hình thành phế quản. Đây được coi là một phần của dị dạng phổi phế quản liên quan đến ruột trước.
Thuật ngữ
Trước đây bệnh được gọi với tên dị dạng nang tuyến phổi bẩm sinh – congenital cystic adenomatoid malformations (CCAM).
Dịch tễ
Chiếm khoảng 25% các bất thường bẩm sinh của phổi.
Tỷ lệ mắc ~ 1: 1500-4000 trẻ sinh ra sống và chủ yếu ở trẻ nam.
Biểu hiện lâm sàng
Thường được chẩn đoán bằng siêu âm trước sinh hoặc trong thời kỳ sơ sinh khi có tình trạng suy hô hấp. Tổn thương lớn có thể dẫn đến giảm sản phổi, có tiên lượng xấu.
Tổn thương nhỏ có thể không phát hiện được cho đến tuổi trưởng thành và thường biểu hiện nhiễm trùng tái diễn.
Bệnh lý học
Là hậu quả của sự phát triển bất thường phế quản phế nang với sự tăng sinh mô thừa ở đơn vị hô hấp dạng nang tuyến mà không có sự hình thành phế nang phù hợp.
Trên mô học đặc trưng là sự hình thành mô tuyến của tiểu phế quản dạng nang lớn hoặc nang nhỏ được lót bởi tế bào biểu mô trụ hoặc lập phương, không có sụn và các tuyến phế quản.
Không giống nang phế quản, các tổn thương này thông thương giữa các nang và có thể thông với cây khí phế quản.
Phân loại
Được chia thành 5 nhóm, chủ yếu dựa vào kích thước nang.
Type I
- Phổ biến nhất: 70% trường hợp
- Nhiều nang lớn
- Một hoặc nhiều nang trội: 2-10cm
- Có thể được bao quanh bởi nhiều nang nhỏ.
Type II
- 15-20%
- Các nang có đường kính < 2cm
- Liên quan với các bất thường khác:
- Loạn sản hoặc bất sản thận
- Phổi biệt lập
- Các bất thường tim bẩm sinh.
Type III
- 10%
- Nang nhỏ: đường kính < 5mm
- Điển hình là tổn thương toàn bộ thùy
- Tiên lượng xấu hơn.
Type IV
- Các nang không có tế bào lót (nang lớn thành mỏng có mức dịch-dịch hoặc dịch khí)
- Điển hình chỉ tổn thương 1 thùy
- Cần phân biệt với type I trên hình ảnh.
Type 0
- Rất hiếm, thường tử vong sau sinh
- Loạn sản hoặc bất sản các túi phế nang
- Là sự ngừng phát triển của phổi.
- Thường ở một phổi và tổn thương ở 1 thùy phổi.
- Ít gặp ở thùy giữa.
Liên quan
- Tổn thương hybrid: CPAM phối hợp với phổi biệt lập.
- Bất sản thận
- Đa ối
- Phù thai
- Bệnh lý ác tính ở phổi:
- ~10% trẻ em ung thư phổi có tiền sử CPAM
- Ung thư biểu mô phế quản phế nang liên quan với CPAM type I
- U nguyên bào phổi có liên quan với CPAM type 4.
Đặc điểm hình ảnh
Siêu âm trước sinh
- CPAM thường biểu hiện dưới dạng tổn thương 1 khối dạng nang hoặc đặc.
- Khối đặc thường liên quan với CPAM type III và điển hình là tăng âm.
- Có thể có hiệu ứng khối gây đẩy lệch tim sang bên đối diện.
- Tổn thương có thể ổn định về kích thước hoặc thậm chí có thể thoái triển.
- Có thể thấy phù thai và đa ối.
X – quang
- Type I và II có thể thấy trên x-quang ngực là tổn thương nhiều nang (chứa đầy khí).
- Tổn thương lớn có thể gây hiệu ứng khối: đẩy lệch trung thất, ấn lõm hoặc đảo ngược cơ hoành.
- Trong thời kỳ sơ sinh, các nang có thể chứa đầy hoàn toàn hoặc một phần mức dịch-dịch. Các tổn thương này có thể thay đổi kích thước (do có sự thông thương qua lỗ Kohn).
- Type III tổn thương có dạng đặc.
CT
- Có vai trò trong quan trọng trong xác định vị trí và mức độ của tổn thương. CTA giúp xác định nguồn mạch nuôi của tổn thương.
- CT cho hình ảnh tổn thương của các type. Type III có thể biểu hiện dưới dạng tổn thương đông đặc.
Điều trị và tiên lượng
Phẫu thuật (cắt thùy phổi) ở những bệnh nhân có triệu chứng, cả những bệnh nhân có triệu chứng hô hấp sớm và những bệnh nhân có nhiễm trùng tái phát muộn.
Type I có tiên lượng tốt nhất.
Các biến chứng
- Tràn khí màng phổi tái phát
- Tràn máu màng phổi
- Tràn mủ màng phổi
- Tăng nguy cơ mắc các khối u ác tính: BAC, ung thư phế quản, u nguyên bào phổi, sarcoma cơ vân.
- Phù thai gây ra:
- Chèn ép tim thai và các mạch máu lớn
- Chèn ép phần phổi bình thường gây ra giảm sản phổi.
Chẩn đoán phân biệt
- Nang phế quản:
- Thường một nang
- Thường không thông với cây phế quản nên không chứa đầy khí.
- Phổi biệt lập:
- Được cấp máu bởi động mạch hệ thống
- Có thể phối hợp với CPAM.
- Thoát vị hoành bẩm sinh: các quai ruột nằm trong lồng ngực.
- Khí phế thũng thùy phổi bẩm sinh: tăng sáng của một thùy phổi, không có thành phần nang hoặc đặc.
- Giãn phế quản dạng nang khu trú.
- Với type I trên CT cần phân biệt với giãn phế quản hoặc xẹp phổi do xơ co kéo.
Các ví dụ
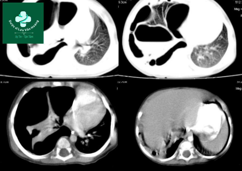
Case 1: CPAM type I
Trẻ nữ, 1,5 tuổi. Viêm phổi tái diễn, khó thở. Phim x-quang ngực trước đó cho thấy có thể có thoát vị hoành.
Một vùng tổn thương dạng nang lớn ở bên ngực phải, một số có mức dịch khí, đè đẩy trung thất. Cơ hoành phải không quan sát rõ.

Trên CT: nhiều nang với kích thước khác nhau, lớn nhất 8 cm, chiếm hầu hết nhu mô phổi, xẹp phần nhu mô phổi còn lại. Khí quản, trung thất bị đẩy lệch. Cơ hoành còn liên tục.


Phim chụp sau uống cản quang cũng cho thấy các đặc điểm trên.

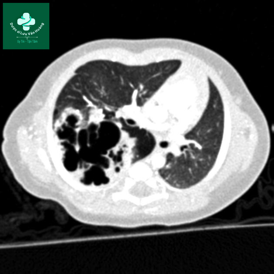
Case 2: CPAM type I.
Trẻ sơ sinh, suy hô hấp.
Phim x-quang cho thấy nhiều tổn thương dạng nang ở bên ngực phải, đè đẩy trung thất sang trái.

Trên CT: tổn thương dạng nhiều nang lớn ở trung tâm của thùy dưới phổi phải, xung quanh dày thành và thâm nhiễm không rõ ràng, có thể do viêm. Phân thùy đáy giữa và đáy bên tăng thể tích do thở bù, phân thùy đáy trước bình thường. Tổn thương gây hiệu ứng khối đẩy rốn phổi và thùy giữa ra phía trước. Phổi trái bình thường.

Case 3:
Trẻ nữ, 2 ngày tuổi, suy hô hấp.
Phim chụp cho thấy thùy trên phổi trái có nhiều tổn thương dạng nang lớn, gây xẹp thùy dưới và đẩy trung thất sang phải.
Chẩn đoán: CPAM type I.

Case 4:
Trên siêu âm trước sinh.
Phổi phải tăng âm hơn phổi trái với các nang nhỏ. Hiệu ứng khối gây đẩy lệch tâm nhĩ trái.


Case 5:
Phân biệt với thoát vị hoành bẩm sinh.
Trẻ sơ sinh, suy hô hấp.
Phim x-quang cho thấy nhiều tổn thương trong lòng sáng nằm ở lồng ngực trái, gây dịch chuyển bóng tim. Ống sonde dạ dày đi về phía bên trái. Không thấy các cấu trúc của ống tiêu hóa trong ổ bụng.
Case 6:
Phân biệt với kén khí. Trẻ nam, 2 tháng tuổi, sau điều trị viêm phổi. Phim chụp cho thấy nhiều kén khí thành mỏng nằm ở đáy phổi hai bên.

Nguồn tham khảo
Dr Mohamed Saber, Congenital pulmonary airway malformation, Radiopaedia. Truy cập ngày 30/06/2022


