Tải file PDF bài viết Xương bánh chè hai mảnh – Bipartite patella tại đây
Bài viết được dịch bởi Trần Thị Thu, Dr. Lê Vũ Duy
Tóm lược
Xương bánh chè hai mảnh là tình trạng xương bánh chè không hợp nhất các trung tâm cốt hóa, điển hình là ở vị trí trên ngoài.
Dịch tễ học
Trung tâm cốt hóa phụ của xương bánh chè thường xuất hiện vào năm 12 tuổi và có thể tồn tại đến tuổi trưởng thành. Xương bánh chè hai mảnh chiếm khoảng 2% dân số, 43% trường hợp xảy ra ở cả hai bên. Tỷ lệ nam/ nữ 9:1.
Biểu hiện lâm sàng
Thường được phát hiện tình cờ ở những người không có triệu chứng. Chỉ khoảng 2% bệnh nhân xương bánh chè hai mảnh xuất hiện triệu chứng. Nó có thể gây ra đau ở mặt trước khớp gối, đặc biệt là sau chấn thương, chấn thương thể thao hoặc hoạt động gắng sức.
Phân loại
Saupe phân loại xương bánh chè hai mảnh dựa theo vị trí của điểm cốt hóa thứ 2:
- Loại I: cực dưới xương bánh chè ~ 1%
- Loại II: bờ ngoài ~ 20-25%
- Loại III: bờ trên ngoài ~ 75%.
Đặc điểm hình ảnh
Phim x-quang
X-quang tư thế skyline view cho thấy sự tách rời của trung tâm cốt hóa phụ, có thể là chỉ điểm của xương bánh chè hai mảnh có triệu chứng.
Ví dụ 1: trên phim khớp gối cho thấy xương bánh chè chia làm 2 phần, phù hợp với xương bánh chè hai mảnh.

Ví dụ 2: bệnh nhân nam, trẻ tuổi. Trên phim có hình ảnh xương bánh chè hai mảnh, không có dịch khớp gối phù hợp với không có chấn thương.

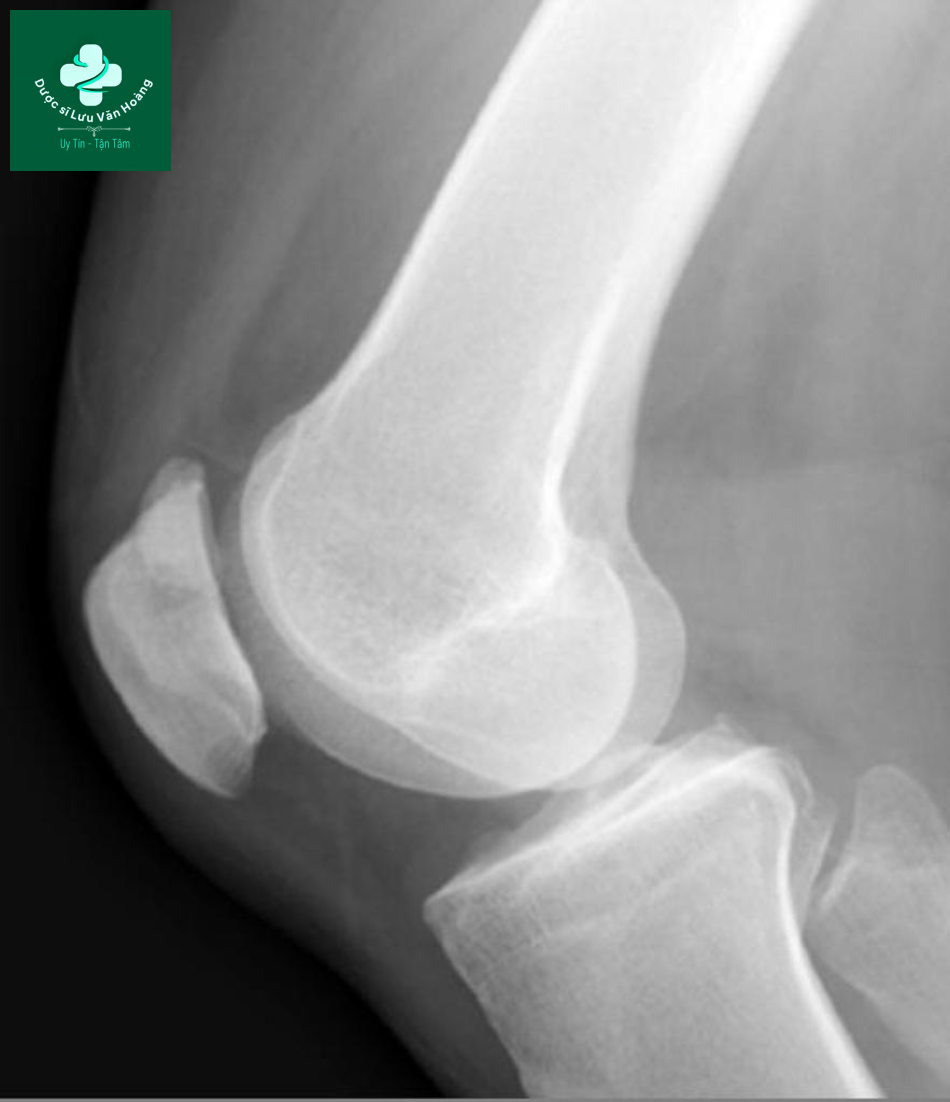
Ví dụ 3: bệnh nhân nam, 45 tuổi. Vị trí ở bờ trên ngoài xương bánh chè, bờ xương đều, không có sưng nề phần mềm cho thấy đây không phải là vỡ xương.

Ví dụ 4:

MRI
Phù tủy xương có thể thấy ở xương bánh chè hai mảnh có triệu chứng.
Ví dụ 5: xương bánh chè hai mảnh có triệu chứng ở bệnh nhân nam, 16 tuổi. Hình ảnh MRI cho thấy phù ở điểm cốt hóa.

Ví dụ 6: MRI cho thấy phù điểm cốt hóa và phần mềm lân cận.

Điều trị và tiên lượng
Phần lớn các trường hợp xương bánh chè hai mảnh có triệu chứng có thể tự phục hồi mà không cần can thiệp. Phẫu thuật cắt bỏ mảnh xương phụ được thực hiện khi điều trị bảo tồn không hiệu quả và cho kết quả tốt.
Chẩn đoán phân biệt
Vỡ xương bánh chè
Trung tâm cốt hóa phụ nằm ở vị trí trên ngoài là đặc trưng của xương bánh chè hai mảnh. Còn với vỡ xương bánh chè, thể tích các mảnh vỡ tương đương với thể tích của xương bánh chè bình thường.
Xương bánh chè nhiều mảnh
Thể tích của xương bánh chè thực sự cộng với các trung tâm cốt hóa phụ lớn hơn thể tích xương bánh chè bình thường.
Nguồn tham khảo
Dr Yuranga Weerakkody, Bipartite patella, Radiopaedia. Truy cập ngày 28/06/2022

