Tải file PDF bài viết U giả nhầy phúc mạc – Pseudomyxoma peritonei tại đây
Bài viết được dịch bởi Trần Thị Thu, Dr. Lê Vũ Duy
Giới thiệu
U giả nhầy phúc mạc đề cập đến sự tích tụ cổ trướng dịch nhầy tiến triển, có nguồn gốc từ khối u nhầy. Phổ biến nhất là u nhầy ruột thừa. Ít gặp hơn là khối u nhầy đại tràng, trực tràng, dạ dày, tuyến tụy, và ống niệu rốn.
Bệnh lý học
U giả nhầy phúc mạc (nguồn gốc từ ruột thừa) do sự xâm lấn hoặc vỡ từ khối u nhầy ruột thừa. Đặc trưng bởi sự tích tụ cổ trướng dịch nhầy được tạo bởi một lượng khác nhau các tế bào biểu mô u và không có tế bào nhầy. Do vậy u giả nhầy phúc mạc không được chẩn đoán trên mô học. Thuật ngữ này chỉ ra sự lắng đọng chất nhầy trong khoang phúc mạc.
Chất nhầy có xu hướng lan theo khung chậu, rãnh cạnh đại tràng, bao gan, mạc nối và ít khi ở các tạng di động như ruột non. Gồm 2 nhóm phụ có ý nghĩa khác nhau về căn nguyên và tiên lượng:
- – Ung thư tuyến nhầy phúc mạc.
- – Ung thư biểu mô nhầy phúc mạc.
Đặc điểm hình ảnh
Đặc trưng bởi sự tụ dịch dọc theo bề mặt phúc mạc với hình ảnh điển hình là lõm hình vỏ sò “scalloped” ở bề mặt các tạng trong ổ bụng và bánh mạc nối “omental cake”. Có thể quan sát thấy khối u nhầy ruột thừa.
- – Ở giai đoạn sớm, bệnh thường khu trú ở ¼ dưới bụng phải.
- – Sự lắng đọng chất nhầy có xu hướng ở vị trí hấp thu bạch huyết như mạc nối, mặt dưới hoành phải và các vị trí liên quan như rãnh cạnh đại tràng phải, vùng thấp khung chậu và khoang sau gan bên phải.
- – Giai đoạn muộn có thể lan đến các tạng di động như ruột non, thậm chí gây tắc ruột.
Phim X-quang.
Thấy được các dấu hiệu của cổ trướng là sự dịch chuyển các quai ruột non về trung tâm và các đốm vôi hóa rải rác hoặc vôi hóa viền.
Siêu âm
Các khối phúc mạc và cổ trướng khu trú. Dịch chuyển các quai ruột non về trung tâm ổ bụng. Có thể thấy lõm hình vỏ sò ở gan, lách và đôi khi ở tạng khác.
CT
Dịch đơn thuần hoặc đóng ngăn có tỷ trọng thấp trong khoang phúc mạc, mạc treo, mạc nối. Lõm hình vỏ sò ở các tạng trong ổ bụng, đặc biệt là gan. Thường có vôi hóa rải rác (dạng đốm hoặc vôi hóa viền). Thường ở trong khoang phúc mạc, hiếm khi di căn hạch hoặc trong lồng ngực.
Điều trị và tiên lượng
Bệnh tiến triển nặng, tiên lượng tử vong. Tắc ruột tái phát do xơ và dính ở giai đoạn muộn. Điều trị bằng cắt bỏ khối, sau đó truyền hóa chất vào khoang phúc mạc.
Chẩn đoán phân biệt
Ung thư biểu mô phúc mạc không có dịch nhầy phúc mạc. Sarcoma phúc mạc. Viêm phúc mạc.
Các ví dụ
Ví dụ 1
Bệnh nhân nữ, 65 tuổi. Hình ảnh siêu âm cho thấy cổ trướng phức tạp lượng lớn, buồng trứng khó khảo sát. Giải phẫu bệnh: u nhầy ruột thừa bậc thấp với di căn rộng đến mạc nối và buồng trứng phải.


Ví dụ 2
Bệnh nhân nữ, 55 tuổi. Đau và chướng bụng tăng dần. Cổ trướng mức độ trung bình. Có nhiều tổn thương giảm đậm độ gây lõm hình vỏ sò ở bờ gan. Dày mạc nối với nhiều khối đậm độ mô mềm có kích thước khác nhau (hình ảnh bánh mạc nối). Bệnh nhân được phẫu thuật và giải phẫu bệnh là ung thư biểu mô tuyến nhầy của đại tràng.

Ví dụ 3
Dịch khoang phúc mạc lan tỏa với nhiều tổn thương dạng nang có vôi hóa, đặc biệt là quanh lách. Nốt Sister Mary Joseph ở rốn (là tổn thương di căn ở rốn, phổ biến từ các khối ung thư biểu mô tuyến trong ổ bụng). Khối chứa đậm độ vôi hóa ở gần manh tràng (ung thư biểu mô tuyến nhầy ở ruột thừa).

Ví dụ 4
Bệnh nhân nữ. Hình ảnh CT với dịch cổ trướng mức độ vừa, có nhiều tổn thương giảm tỷ trọng tạo hình ảnh lõm vỏ sò ở bờ gan, với tỷ trọng cao của vôi hóa, đặc trưng của u giả nhầy phúc mạc.

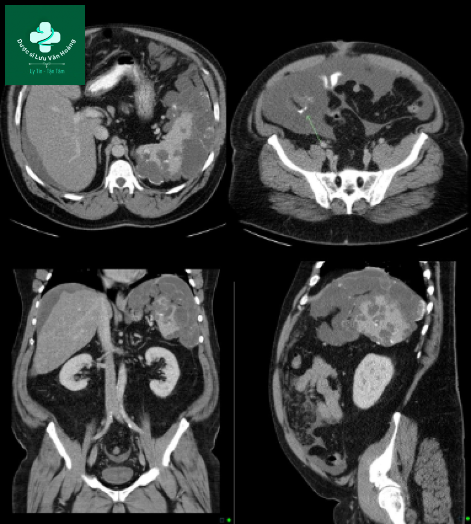
Ví dụ 5
Bệnh nhân nữ, 50 tuổi. Hình ảnh CT có nhiều khối giảm tỷ trọng với dịch đóng ngăn ở phúc mạc, mạc treo, mạc nối tạo hình vỏ sò ở bề mặt các tạng, đặc biệt ở gan. Không thấy hình ảnh vôi hóa.

Nguồn tham khảo
Dr Joshua Yap, Pseudomyxoma peritonei, Radiopaedia. Truy cập ngày 11/7/2022

