Tải file PDF bài viết Tắc ruột non – Small Bowel Obstruction: What to Look For tại đây
Bài viết được dịch bởi Trần Thị Thu và Dr. Lê Vũ Duy
Các bước tiếp cận
Bệnh nhân đến phòng cấp cứu với tình trạng đau, chướng bụng, nôn và buồn nôn thì tắc ruột non là một trong những chẩn đoán đầu tiên.

Các đặc điểm trên X-quang ổ bụng
Có độ nhạy và độ đặc hiệu thấp. Các đặc điểm phân biệt tắc ruột non muộn so và tắc ruột sớm:
- – Giãn các quai ruột non với đường kính trung bình của quai ruột giãn là 36mm.
- – Đường kính quai ruột non > 50% kích thước quai đại tràng lớn nhất có thể nhìn thấy.
- – Số lượng quai ruột giãn tăng gấp 2,5 lần số quai ruột bình thường.
- – Có > 2 mức dịch khí lớn hơn 2,5cm và chênh lệch khoảng cách giữa hai mức dịch khí là > 2cm trên cùng một quai ruột non.
Tắc ruột non giai đoạn muộn:
- Có nhiều mức dịch-khí (mũi tên), với một số mức dịch- khí > 2,5cm.
- Khoảng cách giữa hai mức dịch-khí > 2cm trên cùng 1 quai ruột (vòng tròn).
- Quai ruột non giãn > 2,5cm.
- Tỷ lệ đường kính ruột non/đại tràng > 0,5.

Đặc điểm trên siêu âm
Phát hiện tắc ruột non, tắc sớm hay muộn, trong một số trường hợp có thể tìm được nguyên nhân gây tắc và mức độ nặng của bệnh. Quai ruột non giãn > 3cm, trong lòng chứa đầy dịch, trên một đoạn dài > 10cm. Quai ruột giãn tăng nhu động biểu hiện bằng sự dịch chuyển qua lại các chất trong lòng ruột. Vị trí tắc được xác định dựa trên vị trí quai ruột và kiểu hình của nếp niêm mạc ruột. Xác định điểm chuyển tiếp có thể tìm ra được nguyên nhân của SBO như bezoars, lồng ruột, bệnh Crohn, hay khối u.
Tắc hồi tràng do bệnh Crohn: Hình ảnh siêu âm cho thấy giãn hồi tràng > 3cm chứa đầy dịch bên trong (đường kẻ chấm). Không có nếp ruột non sau vị trí tắc chỉ ra đây là tắc hồi tràng. Dày thành ruột với nhiều mức âm vang (mũi tên) và cổ trướng (A).

Mức độ nặng của tắc ruột cũng có thể đánh giá được với dịch tự do giữa các quai ruột non, không có nhu động và thành ruột dày > 3mm ở quai ruột chứa đầy dịch bên trong gợi ý có nhồi máu ruột.
Đặc điểm trên CT
CT đa dãy có vai trò quan trọng trong đánh giá tắc ruột non cấp tính giúp xác định ruột non có tắc hay không, mức độ nặng của tắc ruột, vị trí điểm chuyển tiếp, các nguyên nhân gây tắc ruột và các biến chứng liên quan.
Có tắc ruột non hay không?
Tiêu chuẩn của tắc ruột non trên CT là giãn quai ruột non > 2,5 cm (đo đường kính ngoài-ngoài của quai ruột) với quai ruột sau vị trí tắc có kích thước bình thường hoặc xẹp. Tắc ruột hoàn toàn khi không có sự hiện diện của chất cản quang đường uống sau vị trí tắc sau 3-24 giờ.
Hình ảnh CT cho thấy quai ruột non giãn > 3cm với xẹp quai ruột sau chỗ tắc (mũi tên).

Tắc ruột non hoàn toàn do lồng ruột. Hình ảnh axial CT cho thấy giãn các quai ruột non trong lòng chứa đầy thuốc cản quang (mũi tên) ở gần vị trí búi lồng (có hình bia bắn). Xẹp hoàn toàn quai ruột sau vị trí lồng (không chứa thuốc cản quang) (đầu mũi tên).

Mức độ nặng của tắc ruột?
Mức độ tắc ruột được xác định hình ảnh xẹp đoạn xa, giãn đoạn gần và dấu hiệu phân trong ruột non “small bowel feces” sign. Dấu hiệu phân trong ruột non là sự hiện diện của phân trong đoạn ruột non bị giãn, gặp ở 7-8% các trường hợp, thường là tắc mức độ trung bình đến nặng.
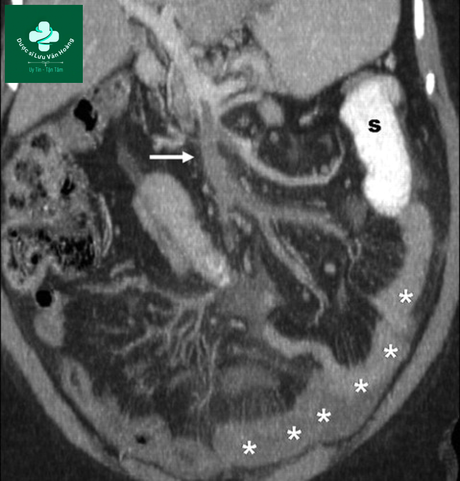
Tắc ruột non do dính sau phẫu thuật với dấu hiệu phân trong ruột non. Hình ảnh axial cho thấy các bóng khí lớn nằm xen kẽ với các hạt phân trong ruột non (*). Quai ruột xẹp sau vị trí tắc (mũi tên).

Vị trí của điểm chuyển tiếp?
Điểm chuyển tiếp được xác định bằng sự thay đổi kích thước giữa quai ruột giãn và quai ruột xẹp.
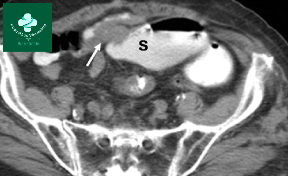
Xác định điểm chuyển tiếp ở trường hợp tắc do dính sau phẫu thuật. Các quai ruột non giãn (S). Có sự thay đổi đột ngột kích thước (mũi tên) giữa quai ruột giãn và đoạn ruột xẹp (C).

Nguyên nhân
Trước khi tìm kiếm nguyên nhân gây tắc ruột non, cần phải chắc chắn không có tắc đại tràng vì nguyên nhân, triệu chứng và cách điều trị khác nhau. Sử dụng phương pháp tiếp cận có hệ thống, dựa trên tiền sử phẫu thuật và biểu hiện lâm sàng để giúp xác định nguyên nhân tắc ruột.

Nguyên nhân tại ruột
Bệnh Crohn
Tắc ruột non một bệnh cảnh lâm sàng trong bệnh Crohn. Đặc trưng bởi hẹp lòng ruột sau quá trình viêm cấp tính thành ruột. Bệnh có thể biểu hiện trên một đoạn dài dẫn đến hình thành sẹo gây hẹp ở những đoạn bị tổn thương. Tắc ruột cũng có thể do dính, thoát vị vết mổ hoặc viêm tăng lên ở những bệnh nhân đã được phẫu thuật trước đó.
Tắc ruột non ở bệnh Crohn cấp tính. Hình ảnh CT cho thấy quai ruột non giãn có đường kính > 2,5 cm (S) nằm gần đoạn cuối hồi tràng bị dày lên (mũi tên). Vòng tròn chỉ điểm chuyển tiếp.

Tắc ruột non ở bệnh Crohn giai đoạn tạo sẹo. Hình ảnh CT cho thấy quai ruột non giãn chứa đầy dịch trong lòng. Điểm chuyển tiếp ở đoạn cuối hồi tràng với thành dày (đầu mũi tên) và tăng sinh mạch xung quanh ruột.

Hình ảnh đại thể cho thấy hẹp lòng ruột từng đoạn (đầu mũi tên) và giãn quai ruột non liền kề (dấu hoa thị).

Khối u
Các khối u nguyên phát gây tắc ruột non là hiếm gặp. Khối u ruột non chiếm dưới 2% tất cả các khối u ác tính đường tiêu hóa. Ung thư biểu mô tuyến ruột non gây ra tắc ruột ở giai đoạn tiến triển và có hình ảnh rõ ràng với thành dày không đều, bất đối xứng tại điểm chuyển tiếp.
Tắc ruột non do ung thư biểu mô tuyến. Hình ảnh CT cho thấy dày thành không đều, không đối xứng ở đoạn cuối hồi tràng (mũi tên) và gây giãn quai ruột non lân cận (S).

Bệnh lý ác tính ở manh tràng và đại tràng cũng có thể gây tắc ruột non khi có gây tổn thương van hồi manh tràng.
Tắc ruột non ở một trường hợp ung thư biểu mô manh tràng có tổn thương van hồi manh tràng. Hình ảnh CT cho thấy giãn các quai ruột non (S) và hẹp do ung thư ở manh tràng (mũi tên) lan đến đoạn cuối hồi tràng.

Hình ảnh đại thể cho thấy tổn thương van hồi manh tràng (mũi tên) do khối u (đường kẻ chấm). TI = đoạn cuối hồi tràng.

Lồng ruột
Lồng ruột là một tình trạng khá hiếm gặp ở người lớn, chỉ chiếm dưới 5% các trường hợp tắc ruột. Tắc ruột xảy ra ở những trường hợp lồng do dính, u, hoặc dị vật và không liên quan với những trường hợp lồng ruột thoáng qua. Trên CT, hình ảnh cấu trúc ruột trong lòng một quai ruột khác, có hoặc không kèm theo mỡ và mạch máu mạc treo.
Lồng ruột do dính gây tắc ruột non. CT cho thấy hình ảnh lồng ruột (mũi tên) với khối u dưới niêm mạc (T). Dải dính (đầu mũi tên) gây giãn quai ruột non.

Hình ảnh đại thể cho thấy khối u dưới niêm mạc biểu hiện giống như một polyp lớn.

Viêm ruột do tia xạ
Viêm ruột do tia xạ gây tắc nghẽn xảy ra sau 1 năm điều trị bằng liệu pháp xạ trị, thường do xạ trị ở vùng tiểu khung. Do vậy hồi tràng thường bị tổn thương nhất. Viêm ruột do tia xạ gây tắc ruột do dính và biến đổi xơ hóa mạc treo, cũng có thể gây biến đổi ở ruột như hẹp lòng ruột, rối loạn nhu động ruột do viêm lớp thanh mạc.
Hình ảnh CT cho thấy hẹp lòng ruột do dày thành, thành ruột gập góc do dính và co rút mạc treo. Thành ruột dày có thể có ngấm thuốc bất thường.
Hình ảnh viêm ruột do tia xạ gây tắc ruột non. CT cho thấy hẹp lòng các quai ruột với thành dày và cấu trúc xơ (các mũi tên) gây giãn các quai ruột non trước chỗ hẹp (S).

Khối máu tụ
Khối máu tụ ở thành ruột non có thể xảy ra sau điều trị bằng kháng đông, nội soi hoặc sau chấn thương. Tắc ruột xảy ra thường do hẹp lòng ruột. Khi nghi ngờ, cần chụp CT không tiêm thuốc cản quang vì cục máu đông có hình ảnh tăng tỷ trọng tự nhiên. CT cũng có thể thấy dày thành ruột đều quanh chu vi, đồng nhất, tăng tỷ trọng với thâm nhiễm mỡ mạc treo vừa phải.
Hình ảnh tắc ruột non do khối máu tụ thứ phát ở bệnh nhân điều trị thuốc kháng đông. Trên mặt cắt axial cho thấy dày thành ruột quanh chu vi gây hẹp lòng (mũi tên) với tăng tỷ trọng tự nhiên của hồi tràng gây giãn quai ruột non trước chỗ hẹp (S).

Nguyên nhân mạch máu
Tắc hay hẹp động mạch hay tĩnh mạch mạc treo gây thiếu máu ruột cục bộ, dẫn đến dày thành ruột và gây ra tắc ruột. Hình ảnh CT có thể thấy huyết khối hoặc tắc mạch máu mạc treo cũng như dày thành đoạn ruột liên quan không theo chu vi và ngấm thuốc thành ruột không đối xứng. Một số trường hợp biểu hiện nhồi máu ruột với tụ khí thành ruột và khí tĩnh mạch cửa.
Tắc ruột sau huyết khối tĩnh mạch mạc treo tràng trên. Hình ảnh coronal cho thấy huyết khối trong tĩnh mạch (mũi tên) với dày thành các quai hồi tràng (dấu hoa thị) do phù dưới niêm mạc. S= giãn quai ruột non.

Hình ảnh đại thể cho thấy nhồi máu ruột với chảy máu lớp niêm mạc và các nếp ruột dày lên.

Tắc ruột non sau thiếu máu ruột cục bộ do huyết khối động mạch. Hình ảnh CT cho thấy khuyết lòng động mạch mạc treo tràng trên do huyết khối. S = giãn các quai ruột non.

Thiếu máu ruột cục bộ do huyết khối động mạch mạc treo tràng trên. Hình ảnh CT cho thấy huyết khối động mạch mạc treo tràng trên (đầu mũi tên) và tụ khí thành ruột và khí trong các mạch thẳng của mạc treo (mũi tên).

Các nguyên nhân ngoài ruột
Do dính
Là nguyên nhân chính gây tắc ruột, chiếm 50-80% các trường hợp. Hầu hết là sau phẫu thuật, một số xảy ra sau viêm phúc mạc. Chẩn đoán tắc ruột non do dính chủ yếu là chẩn đoán loại trừ do các dải dính không nhìn thấy được trên CT thường. Biểu hiện: thay đổi đột ngột kích thước của ruột, dấu hiệu viêm đáng kể, hoặc thành ruột dày lên ở điểm chuyển tiếp. Cần kết hợp với tiền sử có phẫu thuật ổ bụng để chẩn đoán.
Tắc ruột do dính sau phẫu thuật ổ bụng. Hình ảnh CT cho thấy thay đổi đột ngột khẩu kính quai ruột với vùng chuyển tiếp (mũi tên). Thành ruột, lòng ruột và các cơ quan lân cận có hình ảnh bình thường giúp loại trừ các nguyên nhân khác.

Thoát vị.
Là nguyên nhân thứ 2 gây tắc ruột non, chiếm khoảng 10% các trường hợp. Thoát vị được phân loại theo vị trí giải phẫu. Thoát vị ngoại là hậu quả của khiếm khuyết thành bụng và khung chậu tại các điểm yếu bẩm sinh hoặc sau phẫu thuật. Thoát vị nội hiếm gặp hơn xảy ra khi tạng đi qua mạc treo hoặc phúc mạc vào khoang phúc mạc.
Hình ảnh tắc ruột non do thoát vị bẹn: giãn các quai ruột non (S) và thoát vị bẹn nghẹt (H). Điểm chuyển tiếp (mũi tên) nằm ở phía dưới bên của động mạch thượng vị (đầu mũi tên).

Lạc nội mạc tử cung
Lạc nội mạc tử cung xảy ra ở ~ 5% phụ nữ trong độ tuổi sinh sản. Nguyên nhân chính xác gây ra tắc ruột còn chưa rõ.Lạc nội mạc tử cung ở ruột điển hình xảy ra ở bờ tự do của ruột có hình dạng thay đổi với biểu hiện là một nốt đặc, dày thành ruột và ngấm thuốc.Khi tổn thương thâm nhiễm đến lớp dưới niêm, có hình ảnh giảm tỷ trọng giữa lớp cơ niêm và lớp niêm mạc.
Tắc ruột non ở bệnh nhân lạc nội mạc tử cung ở ruột. Hình ảnh CT cho thấy các quai ruột giãn chứa đầy dịch (S). Điểm chuyển tiếp với thành dày quanh chu vi và 1 lớp giảm tỷ trọng bên ngoài.

Hình ảnh đại thể cho thấy hẹp lòng ruột do mô lạc nội mạc tử cung gây xơ hóa.

Các nguyên nhân trong lòng ruột:
Tắc ruột do sỏi mật
Là một biến chứng hiếm gặp của viêm đường mật tái phát, sỏi lớn di chuyển qua chỗ rò mật-ruột và gây tắc ruột. Tam chứng trên x-quang gồm: khí đường mật, sỏi ngoài đường mật và tắc ruột
Tắc ruột do sỏi mật. Hình ảnh CT cho thấy khí đường mật (mũi tên) với sỏi mật ở đoạn cuối hồi tràng (*) và giãn các quai ruột trước đó (S).

Bezoar.
Tắc ruột do bezoar hiếm gặp, tỷ lệ tăng lên ở những bệnh nhân sau phẫu thuật dạ dày dẫn đến giảm tiêu hóa các chất xơ, làm chúng nêm chặt lại và gây tắc ruột. Hình ảnh CT của bezoar là một khối có hình oval, với các đốm khí bên trong.
Hội chứng tắc ruột đoạn xa – Distal Intestinal Obstruction Syndrome
Xảy ra ở trẻ em và người lớn mắc bệnh xơ nang. Tắc nghẽn xảy ra với biểu hiện ruột chứa đầy phân do ruột kém hấp thu sau suy tuyến tụy. Trên CT có hình ảnh ruột non chứa đầy phân.
Hình ảnh tắc ruột non ở bệnh nhân mắc hội chứng tắc ruột xa. CT cho thấy giãn các quai ruột non với đầy phân trong lòng ruột. Mũi tên = đại tràng.

Các nguyên nhân trong lòng ruột khác.
Tắc ruột do dị vật xảy ra ở trẻ em hoặc người bệnh tâm thần. Trên CT có hình ảnh tắc ruột với dị vật ở điểm chuyển tiếp.
Tắc ruột do dị vật. Hình ảnh CT cho thấy các quai ruột giãn (S) với ống J (mũi tên). Quai ruột xẹp (C ) ở xa vị trí ống thông.

Tắc đơn giản hay phức tạp?
Trên cơ sở sinh lý bệnh, tắc ruột non được chia ra thành tắc đơn giản và tắc ruột quai kín. Tắc ruột đơn giản xảy ra khi có một hoặc nhiều điểm tắc trên cùng quai ruột. Đoạn ruột phía trên chỗ tắc giãn nhiều hay ít phụ thuộc vào mức độ bệnh và thời gian. Tắc ruột quai kín xảy ra khi có hai điểm tắc gần nhau trên cùng quai ruột, có thể là tắc hoàn toàn hoặc không hoàn toàn.
Trên CT đặc điểm của tắc ruột quai kín phụ thuộc vào độ dài, độ giãn và hướng của quai ruột trong ổ bụng. Hình ảnh axial cho thấy các quai ruột giãn đồng tâm cố định, trong lòng chứa đầy dịch, mạch máu mạc treo giãn hướng về điểm tắc. Quai ruột giãn có hình chữ U hoặc hình chữ C phụ thuộc vào hướng của nó. Do có hai điểm tắc gần nhau trên cùng một quai ruột nên xoắn ruột có thể xảy ra. Trên CT dấu hiệu mỏ chim “beak sign” được nhìn thấy ở vị trí xoắn, có thể có dấu hiệu xoáy nước “whirl sign”.
Tắc ruột quai đóng xảy ra sau phẫu thuật. Hình ảnh CT cho thấy quai ruột giãn đồng tâm có hình chữ U (đường kẻ chấm) và mạch máu mạc treo bị kéo căng. Trên hình ảnh coronal quai ruột giãn có hình chữ C.

Tắc ruột quai kín gây ra xoắn ruột. Hình ảnh CT cho thấy dấu hiệu xoáy nước (mũi tên), được tạo bởi các mạch máu mạc treo và quai ruột bị xẹp. Điểm chuyển tiếp tại vị trí xoắn.

Sự thắt nghẹt được định nghĩa là tắc ruột quai kín có liên quan với thiếu máu ruột cục bộ. Tình trạng này xảy ra ở khoảng 10% bệnh nhân tắc ruột non và có nguy cơ tử vong cao. Hình ảnh CT bao gồm dày thành và tăng tỷ trọng của đoạn ruột tổn thương, có dấu hiệu halo hay hình bia “target sign”, tụ khí thành ruột và khí tĩnh mạch cửa, nhưng những đặc điểm này không đặc hiệu. Đặc điểm đặc trưng là giảm ngấm thuốc thành, ngấm thuốc không đối xứng hoặc thậm chí ngấm thuốc muộn. Có thể có tụ dịch hoặc chảy máu khu trú ở mạc treo.
Tắc ruột non do dính. Hình ảnh CT cho thấy khí tĩnh mạch cửa, giãn các quai ruột non (S), nhồi máu ruột với hình ảnh tụ khí thành ruột (mũi tên).

Nguồn tham khảo
Ana Catarina Silva, Madalena Pimenta, Luis S Guimaraes – Small Bowel Obstruction: What to Look For – RSNA, RadioGraphics. Truy cập ngày 1/7/2022

Gergel 25g
Mặt nạ nâng cơ cao cấp Premium Wrinkle Power Lifting Mask 