Tải file PDF bài viết Ruột xoay bất toàn – Intestinal malrotation tại đây
Bài viết được dịch bởi Trần Thị Thu, Dr. Lê Vũ Duy
Tóm lược
Ruột xoay bất toàn là bất thường bẩm sinh do sự bất thường xoay của ruột trong thời kỳ bào thai. Một số bệnh nhân có thể không có triệu chứng nhưng cũng có thể xảy ra xoắn ruột hoặc thoát vị nội, một tình trạng đe dọa đến tính mạng.
Dịch tễ học
Ruột xoay bất toàn có thể gặp ở 1/500 trẻ sinh sống.
Liên quan
Gần 50% có liên quan đến bất thường ổ bụng khác:
- Bất thường đường tiêu hóa:
- Teo, hẹp hoặc lưới tá tràng.
- Hở thành bụng bẩm sinh hoặc thoát vị cuống rốn.
- Bất thường đường mật:
- Bất sản túi mật.
- Teo đường mật trong và ngoài gan.
- Bất thường tụy: Giảm sản hoặc bất sản đuôi tụy
- Thoát vị cơ hoành bẩm sinh
- Hội chứng heterotaxy: 70% có liên quan đến bất thường ruột xoay
- Hẹp lỗ mũi sau
- Lỗ đái lệch thấp.
Biểu hiện lâm sàng
Biểu hiện lâm sàng có mối liên quan với độ tuổi khởi phát:
- Trẻ sơ sinh: thường biểu hiện xoắn ruột
- Trẻ lớn và thậm chí là người lớn: thường biểu hiện các đợt tắc tá tràng tự phát tự hồi phục, thường do dây chằng Ladd gây gấp khúc tá tràng. Cũng có thể xảy ra thoát vị nội.
- Một số bệnh nhân biểu hiện không đặc hiệu như đau bụng, giảm cân, đi ngoài phân đen hoặc viêm tụy mạn.
Bệnh lý học
Thời kỳ bào thai khi ruột quay trở lại vào ổ bụng, nó xoay 270 độ ngược chiều kim đồng hồ. Điều này dẫn đến góc tá hỗng tràng nằm ở bên trái đường giữa, còn đoạn cuối hồi tràng nằm ở hố chậu phải và hình thành 1 mạc treo kéo dài từ góc tá hỗng tràng đến manh tràng và ngăn sự xoay của SMA.
Khi có bất thường xảy ra, mạc treo thường ngắn và có thể gây ra xoắn.
Sự xoay của tá hỗng tràng xảy ra vào khoảng tuần thai thứ 5 và hoàn thành vào tuần thứ 8. Các quai đại tràng quay vào tuần thứ 10. Điều này giải thích cho sự bất thường ruột xoay một phần.
Đặc điểm hình ảnh
X-quang không chuẩn bị:
Có thể thấy: Các quai hỗng tràng nằm ở bên phải. Không có đại tràng chứa đầy phân ở ¼ dưới phải ổ bụng.
Siêu âm
Có thể thấy sự đảo ngược của mối liên quan động mạch mạc treo tràng trên (SMA) và tĩnh mạch mạc treo tràng trên (SMV), với SMA thì nằm bên phải còn SMV thì nằm bên trái.
Sự bất thường SMA/SMV có thể không thấy ở 29% bệnh nhân có ruột xoay bất toàn, trong khi đó 11% trường hợp bình thường cũng có sự thay đổi vị trí của SMA và SMV.
Dấu hiệu hữu ích trên siêu âm để loại trừ ruột xoay bất toàn là chứng minh D3 tá tràng nằm ở sau phúc mạc.
CT
Phụ thuộc vào mức độ xoay:
- Không thấy D3 tá tràng nằm sau phúc mạc.
- Đánh giá mối liên quan SMA/SMV
- Đại tràng chủ yếu nằm bên trái ổ bụng còn ruột non chủ yếu nằm ở bên phải ổ bụng.
X-quang dạ dày cản quang
Được lựa chọn khi có nghi ngờ. Đánh giá vị trí của góc Treitz:
- Phim thẳng:
- Góc tá hỗng tràng nằm bên phải cột sống.
- Góc tá hỗng tràng nằm ở phía dưới hành tá tràng.
- Phim nghiêng:
- Đoạn D2,D3 tá tràng không nằm ở sau phúc mạc.
- Hỗng tràng nằm ở bên phải ổ bụng, nhưng không phải là dấu hiệu đặc hiệu.
Điều trị và tiên lượng
Nguyên tắc điều trị chung:
- Đưa quai ruột về vị trí bình thường kể cả trường hợp không xoắn
- Mở rộng chân mạc treo
- Cắt bỏ dây chằng Ladd
- Cố định tá tràng và manh tràng ra sau phúc mạc.
- Cắt ruột thừa dự phòng.
Chẩn đoán phân biệt
Tỷ lệ dương tính giả là 15% khi chẩn đoán bằng uống barit:
- Tá tràng bình thường: tá tràng nằm ở vị trí thấp do dạ dày căng giãn hoặc do ống nuôi thông, bất sản thận, lách to, …
- Duodenum inversum.
- Tá tràng lạc chỗ.
Các ví dụ


Ví dụ 1:
Bệnh nhân 6 tuổi, nôn từng đợt.
Phim chụp có uống barit cho thấy góc tá hỗng tràng nằm ở bên phải đường giữa, ngang mức L3. Ruột non nằm ở bên phải và đại tràng nằm ở bên trái ổ bụng.

Ví dụ 2:
Bệnh nhân nữ, 20 tuổi, đau bụng từng đợt.
Phim chụp có uống cản quang cho thấy:
- Đoạn cuối tá tràng, góc tá hỗng tràng, và đoạn đầu hỗng tràng không thấy ở đường giữa hay bên trái cột sống.
- Các quai ruột non nằm ở bên phải cột sống.
- Đại tràng lên nằm ở đường giữa và bên trái cột sống.

Ví dụ 3:
Hình ảnh siêu âm cho thấy sự đảo ngược của SMA và SMV:

Các quai ruột non nằm ở hố chậu phải và ruột thừa nằm ở hố chậu trái.

Ví dụ 4:
Bệnh nhân biểu hiện xoắn ruột.
Trên CT có dấu hiệu xoáy nước “Whirlpool sign”.

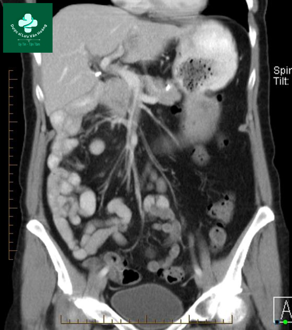
Ví dụ 5:
Bệnh nhân nữ, 65 tuổi, biểu hiện khó chịu vùng bụng và chướng 2 tháng nay.
Hình ảnh CT cho thấy các quai ruột non chủ yếu nằm bên phải, đại tràng nằm bên trái và có sự đảo ngược vị trí của SMA va SMV.

Nguồn tham khảo
Dr Yair Glick, Intestinal malrotation,Radiopaedia. Truy cập ngày 28/06/2022

