Tải file PDF bài viết Loạn dưỡng xương do thận – Renal osteodystrophy tại đây
Bài viết được dịch bởi Trần Thị Thu, Dr. Lê Vũ Duy
Giới thiệu
Loạn dưỡng xương do suy thận (Renal osteodystrophy (ROD) hay còn gọi là bệnh lý xương do ure máu cao đề cập đến những bất thường xương ở bệnh nhân suy thận mạn tính, bao gồm:
- – Loãng xương (người lớn) và còi xương (ở trẻ em).
- – Cường cận giáp thứ phát (rối loạn chuyển hóa canxi và photphat):
- + Tiêu xương
- + Xơ xương
- + Vôi hóa phần mềm và mạch máu
- + Các khối u nâu
- – Nhiễm độc nhôm: ở bệnh nhân chạy thận.
Đặc điểm hình ảnh
Loãng xương: thường xảy ra sớm. Mỏng vỏ xương và các bè xương. Hình ảnh muối tiêu ở xương sọ “salt and pepper skull”. Các ổ tiêu xương: thường ở dưới màng xương, cũng có thể ở bề mặt khớp, dưới sụn, vỏ xương, vùng dưới dây chằng, hoặc bè xương. Sự tái tạo dưới màng xương: điển hình xảy ra ở mặt quay đốt giữa của ngón trỏ và ngón giữa.
Xơ xương: xơ xương lan tỏa/ rugger jersey spine: xơ xương ở thân đốt sống. Vôi hóa mô mềm. Lắng đọng amyloid: xói mòn xung quanh và ở khớp. Gãy xương thiếu. Các khối u nâu.
Chẩn đoán phân biệt
Bệnh loãng xương. Viêm khớp dạng thấp. Bệnh lý cột sống huyết thanh âm tính Các khối u: đa u tủy xương, di căn. Khối u nâu có thể nhầm lẫn với khối u ác tính nguyên phát ở xương. Lắng đọng amyloid có thể nhầm với viêm màng hoạt dịch thể lông nốt sắc tố (Pigmented villonodular synovitis) hoặc u sụn màng hoạt dịch (Synovial chondromatosis). Viêm xương tủy. Những bất thường trong tủy xương.
Các ví dụ
Ví dụ 1
Bệnh nhân 30 tuổi, suy thận mạn và cường cận giáp. Có sự lắng đọng xương dưới màng xương thấy rõ nhất ở bờ quay các đốt ngón gần và giữa.

Ví dụ 2
Rugger-jersey spine. Tăng đậm độ bề mặt thân đốt sống của các đốt sống liền kề nhau tạo hình hình ảnh “tối-sáng-tối” giống như những sọc ngang của chiếc áo cầu thủ bóng bầu dục.

Ví dụ 3
Brown tumors. Phim chụp x-quang bàn tay của bệnh nhân suy thận mạn tính có biểu hiện cường cận giáp thứ phát.
- – Đường bờ vỏ xương không rõ, không đều, đặc biệt ở bờ quay các đốt ngón giữa -> tái tạo xương dưới màng xương.
- – Nhiều ổ tiêu xương nhỏ -> các khối u nâu (mũi tên).
- – Xơ xương.
Ví dụ 4
Giảm mật độ xương ở bàn tay và cổ tay. Phản ứng màng xương ở bờ quay các đốt ngón tay. Can xương ở đầu dưới xương quay và xương trụ do gãy xương thiếu, biến chứng của loạn dưỡng xương do suy thận và kèm với cường cận giáp thứ phát.


Ví dụ 5
Đặc điểm nổi bật ở bệnh nhân này là vôi hóa mô mềm. Vôi hóa giả u ở bàn tay, phía dưới vai phải (trên x-quang) và khớp háng phải, túi hoạt dịch. Ngoài ra còn thấy vôi hóa dây chằng quạ đòn trên phim x-quang ngực.



Ví dụ 6
Lắng đọng amyloid. Nhiều tổn thương dạng nang dưới sụn ở vùng khớp với bờ xơ xương rõ và mất liên tục vỏ xương đầu trên xương cánh tay. Sưng nề phần mềm cạnh khớp.

Ví dụ 7
Bệnh nhân nam 70 tuổi. Xuất hiện hình ảnh các chấm dạng muối tiêu ở xương sọ do ảnh hưởng của nồng độ cao hormone tuyến cận giáp gây tăng hoạt động các tế bào hủy xương.

Ví dụ 8
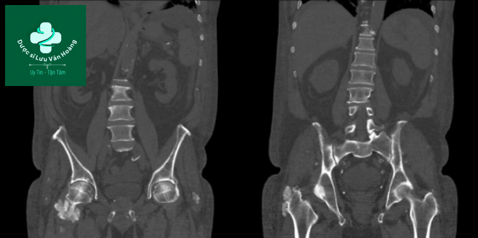
Bệnh nhân nam 45 tuổi suy thận và đã được ghép thận, có bất thường trong xét nghiệm sinh hóa máu. Phim chụp có hình ảnh rugger jersey spine và hình ảnh thận ghép nằm ở khung chậu.
Nguồn tham khảo
Dr Avni K P Skandhan, Renal osteodystrophy, Radiopaedia. Truy cập ngày 11/7/2022


E LÀ BS HẰNG Ở BỆNH VIỆN HỮU NGHỊ VIỆT TIỆP HP. CHO E XIN BÀI VÀ HÌNH ẢNH CỦA A ĐƯỢC KHÔNG Ạ?