Tải file PDF bài viết Đặc điểm của sốc giảm thể tích trên CLVT tại đây
Bài viết được dịch bởi Trần Thị Thu, Dr. Lê Vũ Duy
Giới thiệu
Bài viết đề cập đến đặc điểm hình ảnh của các tạng trong ổ bụng trong trường hợp sốc giảm thể tích nặng. Nhiều tạng trong ổ bụng có thể không có đặc điểm điển hình liên quan đến chấn thương ban đầu nhưng có ảnh hưởng do tái phân bố mạch máu do kích thích của thần kinh giao cảm nội tạng. Ruột non thường bị ảnh hưởng hơn đại tràng.
Bệnh lý học
Phổ biến nhất của sốc giảm thể tích là sau chấn thương nhưng cũng có thể xảy ra trong các trường hợp:
- – Nhiễm trùng huyết
- – Chấn thương đầu hoặc cột sống nặng
- – Viêm nội tâm mạc nhiễm khuẩn
- – Nhiễm toan ceton do đái tháo đường.
Đặc điểm hình ảnh
CT
Giảm kích thước của động mạch chủ: đường kính trước sau của động mạch chủ < 13mm và < 2cm ở mức trên và dưới chỗ phân chia động mạch thận. Dấu hiệu này xảy ra ~ 30% trường hợp, nhưng không đặc hiệu. Xẹp tĩnh mạch chủ dưới: đường kính trước sau của tĩnh mạch chủ dưới < 9 mm ở 3 đoạn: ~ 20 mm phía trên và dưới của tĩnh mạch thận và gần gan.
Dấu hiệu quầng Halo
- – Dịch giảm tỷ trọng ( < 20HU) ở quanh tĩnh mạch chủ dưới.
- – Xảy ra ở khoảng 80% bệnh nhân giảm thể tích nặng.
Dày thành ruột (> 3mm), với ngấm thuốc thành ruột. Hình ảnh này còn được gọi là sốc ruột.
- – Phổ biến nhất ở hỗng tràng
- – Tăng tỷ trọng của thành ruột so với cơ thắt lưng chậu trên phim không tiêm thuốc
- – Dày thành ruột do phù nề lớp dưới niêm
- – Ngấm thuốc lớp niêm mạc.
Sốc tụy: tụy ngấm thuốc không đồng nhất với dịch quanh tụy (< 20HU). Lách ngấm thuốc kém. Giảm thể tích của lách. Gan ngấm thuốc kém: < 25HU so với lách. Ngấm thuốc mạnh của tuyến thượng thận hai bên: phổ biến ở trẻ nhỏ. Thận ngấm thuốc mạnh. Cổ trướng. Sốc tuyến giáp: tuyến giáp tăng kích thước với ngấm thuốc không đồng nhất và dịch quanh tuyến giáp.
Điều trị và tiên lượng
Các phát hiện trên CT có xu hướng phục hồi khi được bù đủ dịch.
Chẩn đoán phân biệt
Phù mạch vô căn. Phù mạch di truyền. Thiếu máu ruột cục bộ. Viêm mạch (hội chứng Henoch-Schonlein). Viêm ruột nhiễm trùng. Bệnh viêm ruột. Viêm ruột do tia xạ. Tụ máu dưới niêm mạc hoặc trong thành ruột.
Các ví dụ
Ví dụ 1
Vết thương do súng bắn và sốc ruột. Bệnh nhân nam 20 tuổi bị súng bắn vào bụng và có biểu hiện giảm thể tích. Tụ máu khoang sau phúc mạc với chảy máu hoạt động ở quanh phần dưới động mạch chủ bụng và cả động mạch thận hai bên, lách và thành bụng bên trái. Không xác định được rõ chấn thương ruột nhưng nhiều quai ruột non có ngấm thuốc không đều, chỉ ra có thiếu máu cục bộ. Tăng ngấm thuốc tuyến thượng thận và túi mật, giảm ngấm thuốc của lách so với gan, thận ngấm thuốc không đều và tĩnh mạch chủ dưới bị xẹp.
Thì động mạch

Thì tĩnh mạch:

Ví dụ 2
Bệnh nhân nữ 35 tuổi bị tai nạn ô tô. Có lượng khí và dịch tự do đáng kể. Khí khoang sau phúc mạc, quanh thận phải và tụ khí và tụ máu dưới da thành bụng. Dày thành và phù nề các quai ruột đến đoạn hồi tràng. Giảm tỷ trọng của đại tràng xuống với ngấm thuốc ít. Chảy máu hoạt động trong vùng máu tụ ở mạc treo. Xẹp tĩnh mạch chủ dưới.
Thì động mạch:

Thì tĩnh mạch:

Ví dụ 3
Một trường hợp sốc ruột. Tĩnh mạch chủ dưới xẹp gần như hoàn toàn.

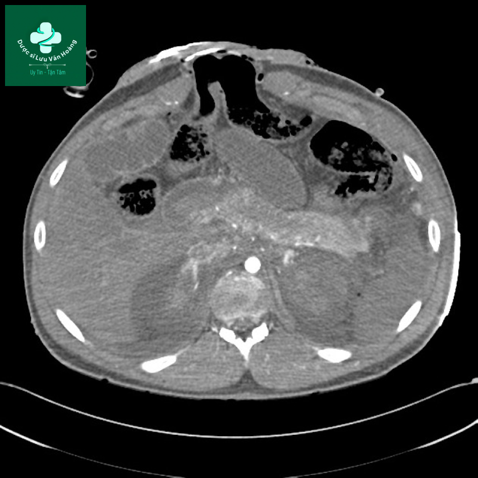
Ví dụ 4
Bệnh nhân nam, 25 tuổi. Lớp niêm mạc hồi tràng dày lên và ngấm thuốc. Tĩnh mạch chủ dưới xẹp và giảm đường kính động mạch chủ.

Ví dụ 5
Bệnh nhân nam, 60 tuổi. Tiền sử tai nạn ô tô 1 tuần trước, biểu hiện đau bụng cấp. Tăng tỷ trọng dịch ổ bụng do có thoát thuốc cản quang đường uống (mũi tên vàng). Một vài ổ khí nhỏ ở vùng bụng trên (mũi tên trắng). Các quai ruột non dày thành và ngấm thuốc (mũi tên nâu). Mất liên tục ở quanh môn vị gợi ý thủng ổ loét (mũi tên đỏ).

Nguồn tham khảo
Dr Joshua Yap, CT hypoperfusion complex, Radiopaedia. Truy cập ngày 11/7/2022

